Request Appointment
Skip to Main Content

Welcoming patients of all ages with Canadian Dental Care Plan (CDCP) coverage!

Before & After Gallery

To see the results possible from undergoing restorative and/or cosmetic dental treatments at Landmark Dental Centre in Kelowna, take a look through our Before and After gallery below*.

Request Appointment

Periimplantitis

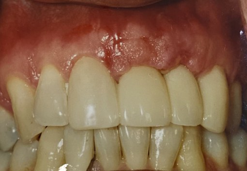
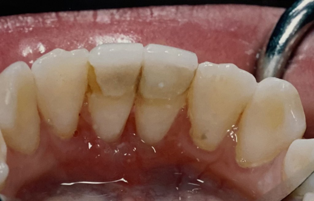
Bioclear

Bioclear treatment at Landmark Dental Centre is peformed by Dr. Resener.

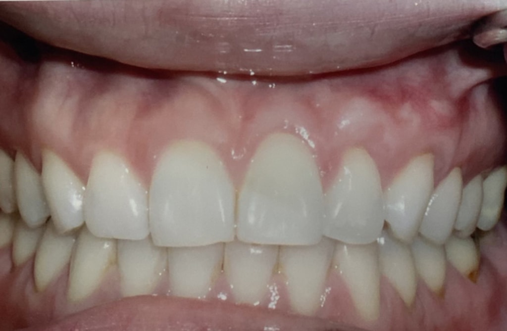
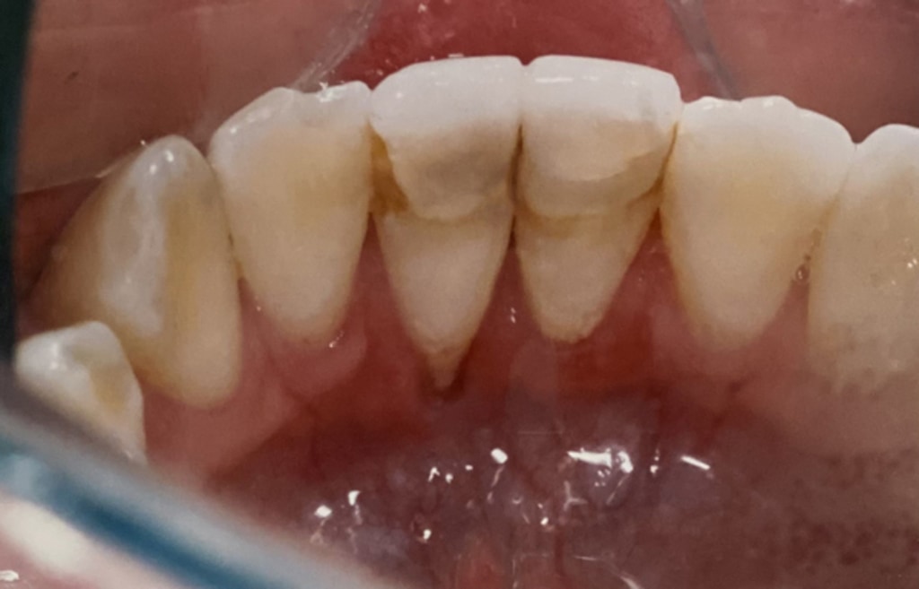
Teeth Whitening

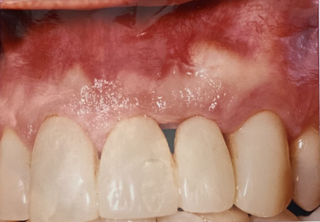
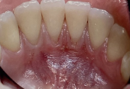
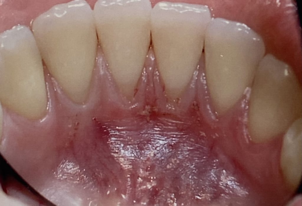
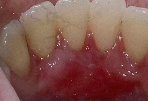
Gum Therapy

*Individual results may vary. 

New Patients Always Welcome

We are accepting new patients, don't hesitate to contact us and take the first step in achieving better oral health outcomes.

Contact Us

Call (250) 762-3342 Request Appointment